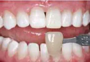
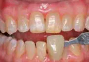
Teeth Whitening
Seeing is Believing! Dr. Ross can give you the smile of your dreams. We offer the following 3 teeth whitening options:
- Deep Bleaching/KöR Whitening System - This is a revolutionary in-office treatment.
- At-home Bleaching with Custom Made Trays
- Professional Strength Venus White Ultra Trays (pre-filled disposable whitening trays)


Contact us for more information about Teeth Whitening.