Kami Ross, DDS
-
Dave Woltkamp, DDS
Overland Park Smiles
(913) 851-8400
6700 W. 121st St, Suite 104
Overland Park, KS 66209
Request Appointment
Patient Registration
Request Appointment
Patient Registration
Home
Meet the Doctors
Our Team
Our Services
►
Family Dentistry
Children's Dentistry
Cosmetic Dentistry
Dental Cleanings
CEREC - Same Day Crown!
Dental Implants
Dentures & Partials
Gum Care
Tooth Colored Fillings
Infection Control
Invisalign and Orthodontics
Metal-free Crowns
Teeth Whitening
Porcelain Veneers
TMJ/Headache Treatment
Patient Information
Patient Forms
Financial Options
Contact Us
Refer a Friend
Patient Registration
No Insurance... No Problem
Invisalign Results
The Results
Below are cases of actual Invisalign patients.
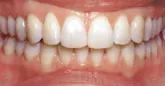
Case1 - John: Crowding
Treatment Time: 10 months. Aligners used: 13 Upper, 18 Lower
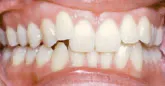
Case2 - Jennifer: Crowding
Treatment Time: 22 months. Aligners used: 44 Upper, 27 Lower
Office Hours:
Monday
08:00am - 05:00pm
Tuesday
08:00am - 05:00pm
Wednesday
08:00am - 05:00pm
Thursday
08:00am - 05:00pm
(913) 851-8400
No Insurance... No Problem
Patient Registration
Refer a Friend